#Реконструкция оптических характеристик одиночного центрального резца

Nondas Vlachopoulos

 | 

Практический курс
#Nondas Vlachopoulos
/ лектор курса

Информация о лекторе
  • Международный эксперт по эстетической керамике
  • Автор One Bake Technique
02 мая 2026
10:00 - 18:00
03 мая 2026
10:00 - 18:00
#Описание курса
День первый. Лекционно-демонстрационный

Практическая демонстрация (LIVE-формат) для ортопедов и зубных техников

  • Этапы консультации и мотивации пациента
  • Определение цвета и фотопротокол
  • Протокол передачи заказа в лабораторию
  • Анализ ключевых параметров: выбор цвета, внутренняя стратификация, насыщенность, опаковость, прозрачность, транслюцентность, опалесценция, морфология и текстура поверхности с учётом возраста пациента

Мастер-класс

День второй. Практика. HANDS-ON для зубных техников

Выполнение послойного нанесения керамики на индивидуальной модели под личным руководством Нондаса

  • Все этапы нанесения и окрашивания
  • Цветовое сопоставление и фотосъёмка
  • Разбор результата от Нондаса
Организатор: DENTALWORKSHOP

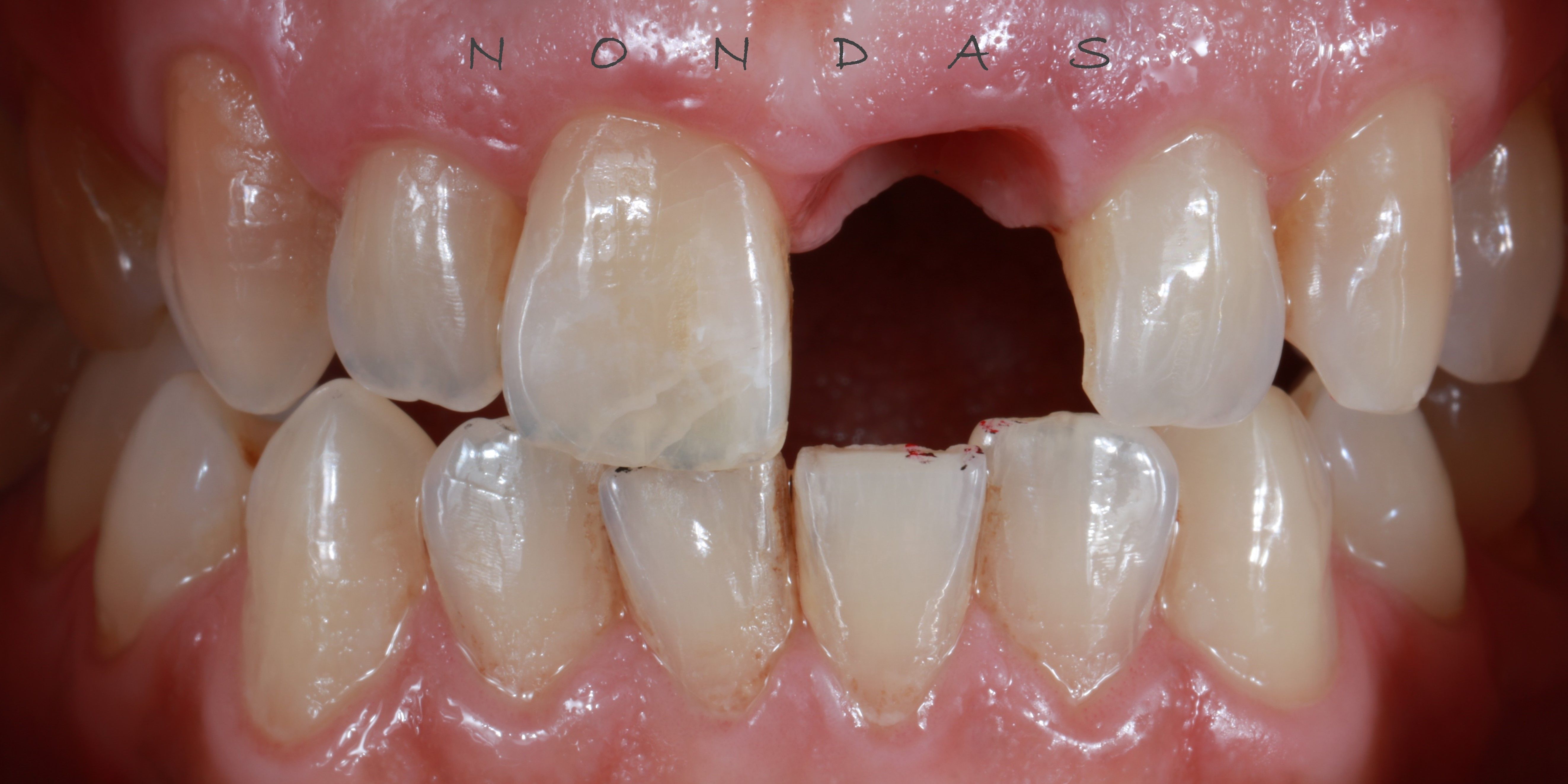
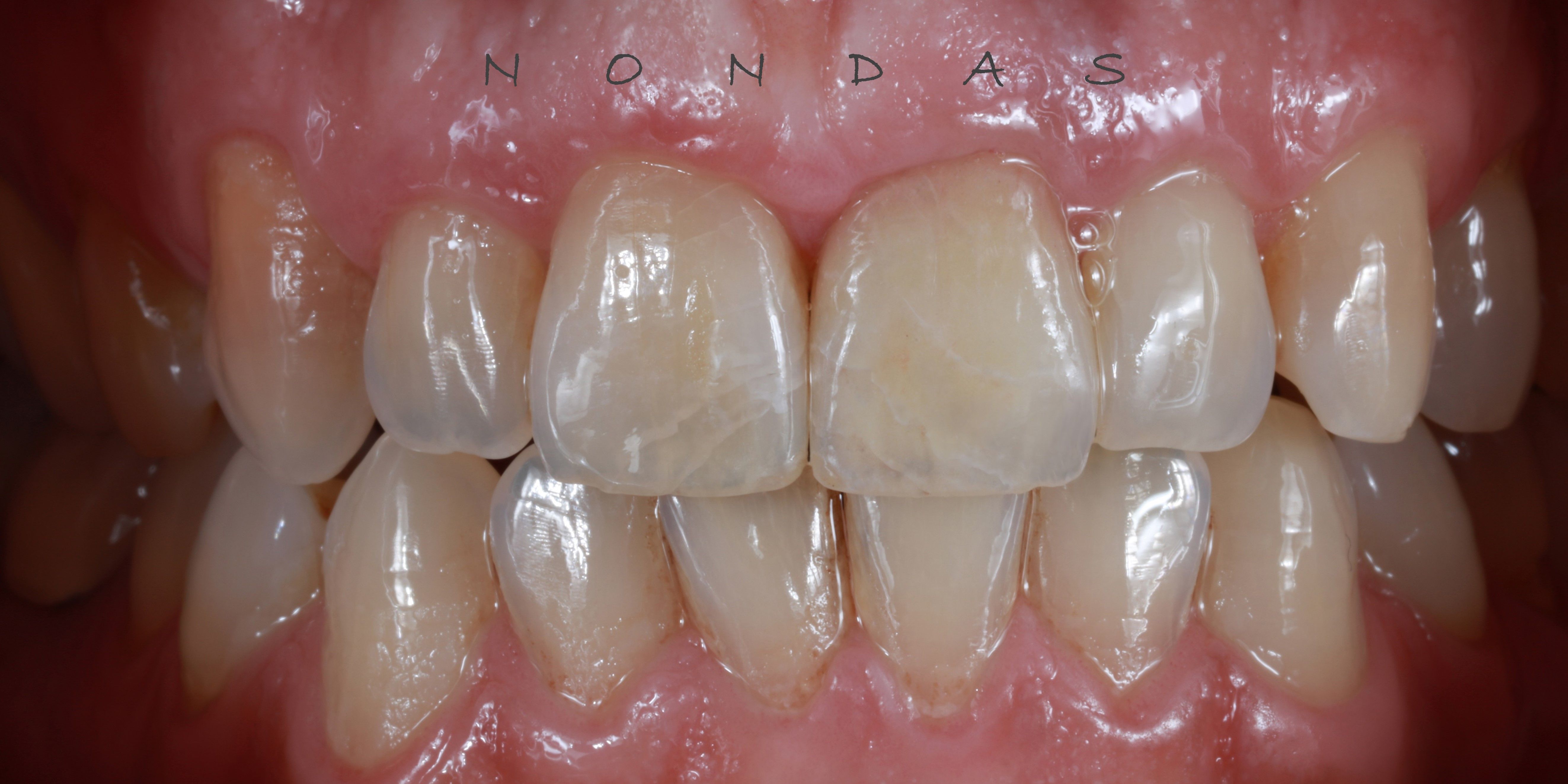
Кейсы

Ждём Вас в #DENTALWORKSHOP
Зона практики

Все практические курсы оснащаются современным оборудованием от брендов Eighteeth, CJ-OPTIK, Acteon, D-TEC, Rini Ergoteknik

Зона теории
  • Комфортные места для слушателей
  • Плазменная панель
Зона отдыха

В стоимость включен кофе-брейк